Ali kajenje res vpliva na zobe in ustno votlino?

Svetujemo vam

Vedno več slišimo o tem, kako kajenje negativno vpliva na naše splošno zdravje. Kako pa kajenje vpliva na zdravje naše ustne votline?

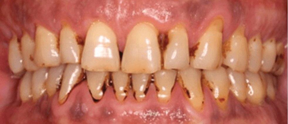
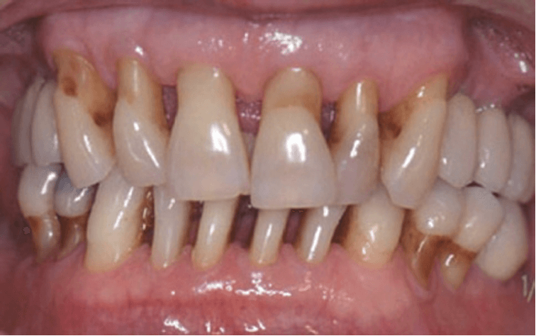
Kajenje je na eni strani lahko vzrok milejšim težavam, kot je na primer neprijetno zabarvanje zob, na drugi strani pa bistveno pripomore k težjim patologijam, kot je na primer rak ustne votline.

Tobak vsebuje nekaj tisoč sestavin, med katerimi so tudi strupene in rakotvorne. Snovi, kot sta na primer katran in nikotin, se nalagata na zobno površino in povzročata rumenkasto, rjavkasto ali temno zabarvanje zob. Na zobnem vratu, kjer dentin ni prekrit s sklenino, je to zabarvanje še močnejše.

Tobak ne vpliva le na zabarvanje zob. Znano in dokazano je, da obstaja močna povezava med kajenjem in parodontalno boleznijo.

Kaj je parodontalna bolezen in kako kajenje vpliva nanjo?

Je bolezen, ki vodi v propad obzobnih tkiv in posledično v izgubo zob. Vzrok zanjo je zobni plak, ki je ostal neodstranjen z zobnih površin. V zobnem plaku se naselijo bakterije, plak se spremeni v zobni kamen, ki je zaradi svoje hrapavosti idealen za nadaljnjo naselitev bakterij in tako se ustvari začaran krog. Ta vodi v vnetje, ki pripelje do propada obzobnih - podpornih - tkiv. Rečemo, da nastane 'obzobni žep', ki ga sami ne moremo več očistiti, zato brez profesionalne zobozdravniške pomoči vnetje napreduje.

Kajenje spremeni mikrofloro ustne votline. Pojavi se več za obzobna tkiva škodljivih bakterij. Vpliva tudi na žile, imunski sistem in vnetni sistem. Vnetnih celic, ki so sicer odločilne za boj proti vnetju, je pri kadilcih bistveno manj, kar pomeni okrnjeno obrambo proti bakterijam. Parodontalno vnetje prepoznamo tudi po krvavečih dlesnih, ki so opozorilni znak, da potrebujemo obisk zobozdravnika! A tudi na tem področju cigarete igrajo negativno vlogo. Nikotin je vazokonstriktor, to pomeni, da skrči žile. Krvavitve zato ni ali pa je je bistveno manj, kot bi je bilo sicer. Z drugimi besedami,  glavni znak parodontalne bolezni postane zamaskiran in tako jo lahko mirno spregledamo. 

Parodontalno bolezen zdravi oziroma nadzoruje specialist parodontolog. Tudi na tem področju se kažejo slabosti kajenja, saj se kadilci slabše odzovejo na parodontalno zdravljenje, kar je posledica slabše sposobnosti celjenja.

Kako pa kajenje vpliva na ustno sluznico?

Rakotvorne sestavine tobaka prihajajo v neposreden ali posreden (preko sline, v kateri se zadržujejo) stik s sluznico ustne votline, kjer se zadržujejo. Ta stik vodi v nastanek predrakavih sprememb, ki lahko vodijo v rak ustne votline. Alkoholu in tobaku pripisujemo 75 % vseh primerov raka tega področja.

Odgovor na začetno vprašanje je torej: da, kajenje res vpliva na zobe, dlesni in celotno ustno votlino. Vse težnje k prenehanju kajenja so torej zelo na mestu. 

Naročite se na zobozdravstevni pregled in preverite stanje svoje ustne votline.

Naroči se

DCT
DCT

Piškotki

Spletno mesto uporablja piškotke za zagotavljanje boljše uporabniške izkušnje in spremljanje statistike obiska.

Z izborom opcije "strinjam se" se strinjate z uporabo piškotkov. V primeru nestrinjanja izberite opcijo "ne strinjam se".Več o tem
Ne strinjam se Strinjam se