Občutljivi zobje so tisti, ki nam ob nekaterih dražljajih – sladko, kislo, zrak – povzročajo neprijetne občutke. Pravimo, da nas zobje ''skelijo''. Da bi razumeli, zakaj do tega pride, moramo razumeti sestavo zoba.

Zob ima zobno krono, vrat in korenino. Zobno krono vidimo v ustni votlini, korenina pa je zasidrana v kost. Osrednje zobno tkivo je dentin, ki obdaja zobno pulpo. Ta vsebuje žile, živčna vlakna in obrambne celice. Nekaj živčnih vlaken sega tudi v dentin. Dentin je v kronskem delu zaščiten s sklenino, ki je najtrša snov v našem telesu, v koreninskem delu pa s cementom, ki je preko različnih vlaken pritrjen na kost.
Odsotnost sklenine ali cementa na kateremkoli delu zoba pomeni odsotnost zaščite dentina in izpostavljenost le-tega ustni votlini. Predvideva se, da dražljaji na izpostavljen dentin povzročajo gibanje tekočin znotraj dentina in to naj bi vodilo v vzdraženje živca in v nam neprijetne občutke.
Kdaj so zobje občutljivi?
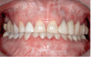
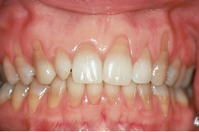
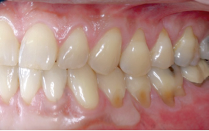
Zobje so občutljivi, ko dentin ni zaščiten s sklenino ali cementom. Sklenino obrabljamo na različne načine, na primer s prekomernim stiskanjem zob, temu pravimo bruksizem. Do obrabe pride tudi zaradi preveč agresivnega ščetkanja oziroma pretrde zobne ščetke. Vzrok za obrabo so lahko tudi kisline, ki jih vnašamo v telo (kisle pijače, kisla hrana) ali pa v prekomernih količinah nastajajo v našem telesu, na primer pri refluksni bolezni.
Dentin je lahko razgaljen tudi na predelu zobnega vratu, predvsem takrat, ko se dlesen odmika. Temu rečemo recesija dlesni. Do te pride zaradi nezadostne higiene, ki vodi v vnetje dlesni in kasneje v propad obzobnih tkiv. Do odmika dlesni lahko pride tudi zaradi preveč agresivnega ščetkanja.

a) izpostavljen dentin zaradi odmika dlesni, b) izpostavljen dentin zaradi preveč agresivnega ščetkanja, c) obraba zob zaradi prekomernega stiskanja
Kaj lahko storim, da olajšam občutljivost?
Obstaja nekaj nasvetov, s pomočjo katerih lahko omilimo občutljivost zob. Prvi je, da dobro skrbimo za ustno higieno: ščetkamo zjutraj in zvečer, z mehko zobno ščetko, vsaj 2 minuti. Zobno pasto izpljunemo, a je ne izpiramo z vodo. Tako jo pustimo učinkovati, s čimer zaščitimo dentin pred vplivom različnih dražljajev. Zmanjšamo vnos kislih pijač in kisle hrane. Zob ne ščetkamo takoj po zaužitem obroku, ampak počakamo približno pol ure, ko se kisli pH v ustni votlini normalizira.
Vedno se za pomoč lahko obrnemo k zobozdravniku, ki nam bo pomagal najti rešitev za občutljive zobe. Ta je odvisna od vzroka. Morda bodo dovolj premazi, ki jih v ordinaciji nanesemo na občutljive zobe in s tem zaščitimo dentin. Pri kompleksnejših obrabah pa se poslužujemo zalivk ali protetičnih rešitev. Za prekomerno stiskanje zob se izdela plastična opornica, ki zobe varuje pred nadaljnjo obrabo, hkrati pa razbremeni čeljustni sklep in mišice.